geral@perfectclinic.pt
+351 939 910 011
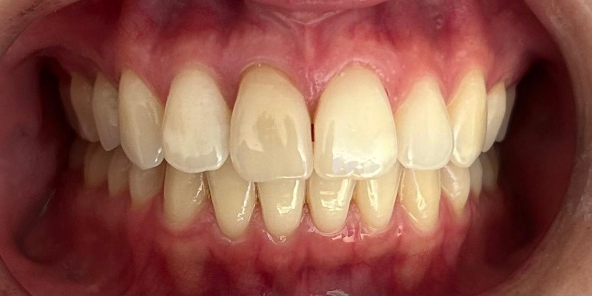
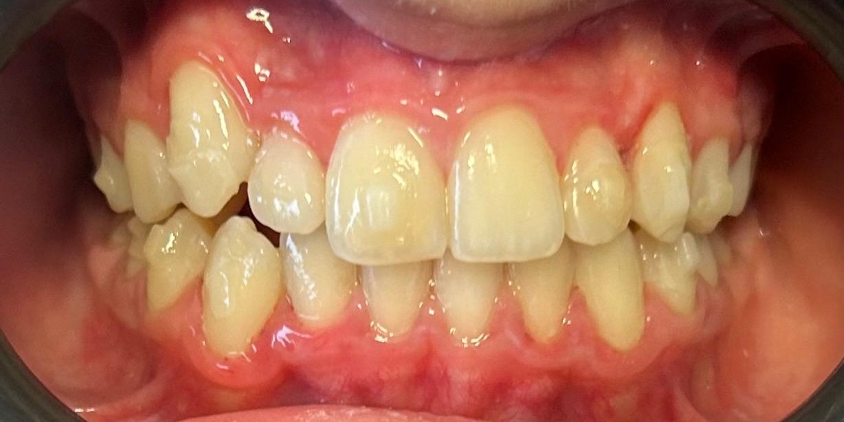
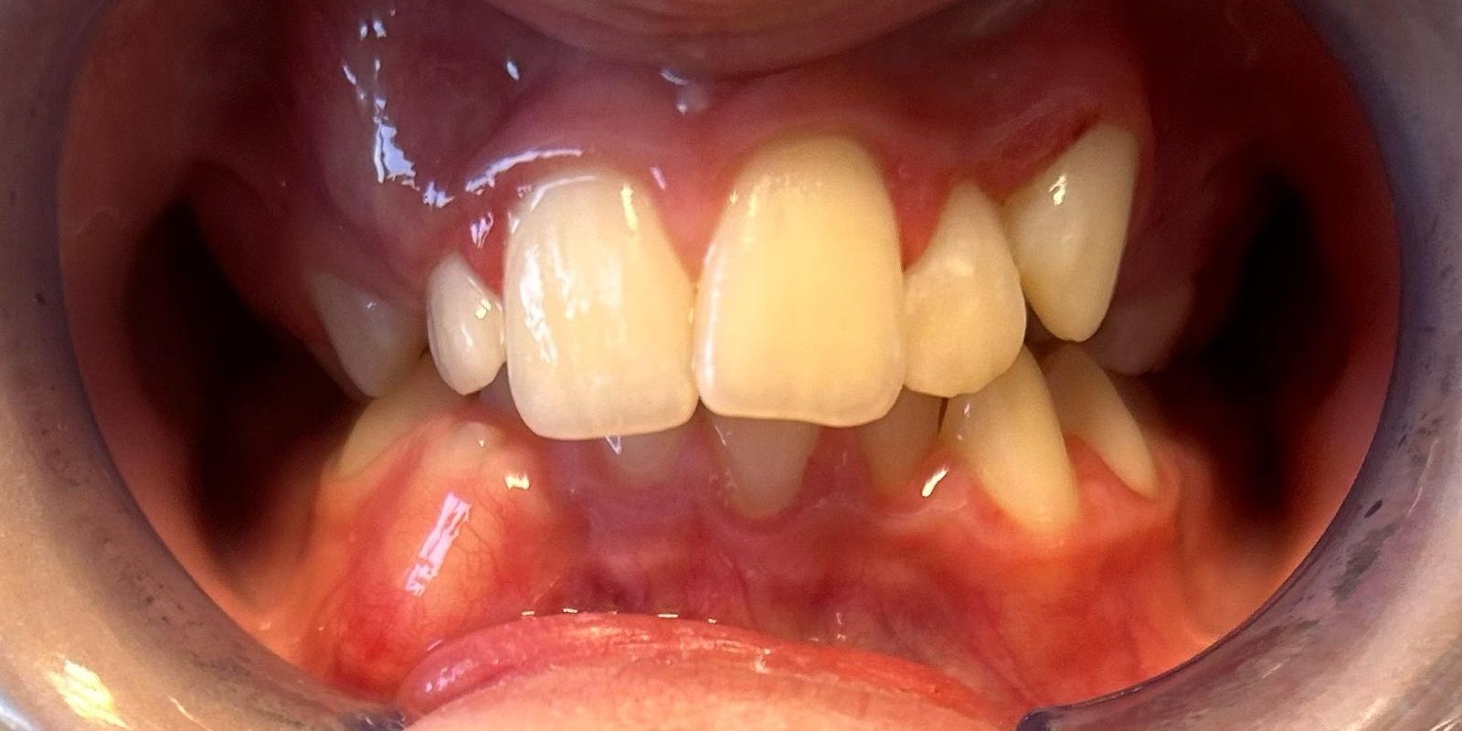
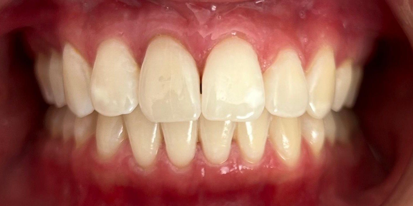
Casos Clínicos

Antes/Depois

Ortodontia
Branqueamento
Reabilitação